Clínica Médica Gutiérrez Quant

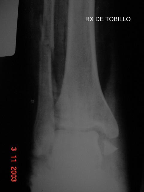
fRACTURA MULTIPLE DE TOBILLO

Las tres Rx son del mismo paciente. UNA RADIOGRAFÍA de pierna que cataloga al paciente como fractura del peroné solamente. La clínica se impone. Las otras radiografías confirman a la clínica.

 

Regresar al menú anterior...