![]()

![]()
![]()
mejorando calidad de vida
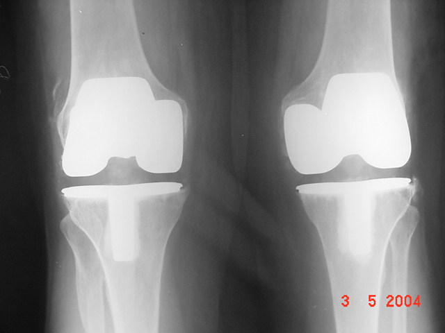
Paciente del sexo femenino de 79 años de edad.
Por problemas en la columna laminectomía y fijación.
Por artrosis de rodilla prótesis total bilateral.
Es la tecnología puesta a la orden de mejorar calidad de vida de los pacientes.